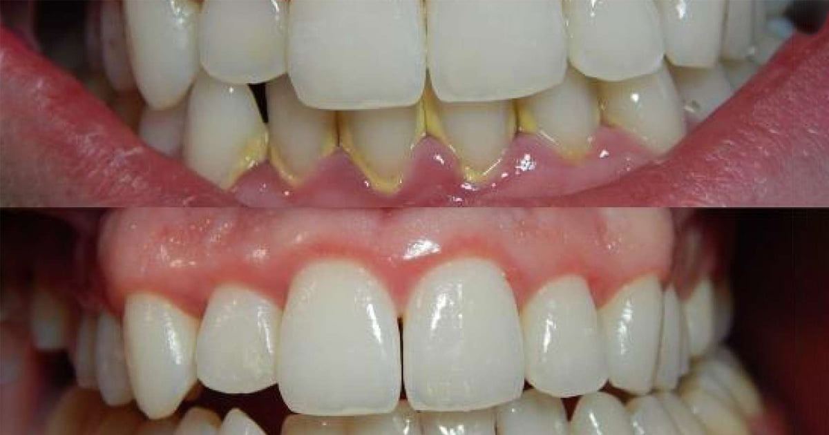
Diş eti çekilmesine bitkisel tedavi yöntemleri
Diş eti çekilmesine bitkisel tedavi yöntemleri: Siz de diş etlerinizde çekilme başladığını tespit ettiyseniz bu yazımızda önerdiğimiz, diş eti çekilmesine iyi gelen, diş eti çekilmesini engelleyecek kesin bitkisel doğal tedavi yöntemlerinden yararlanabilirsiniz.



